刘涛烤瓷牙背后的心酸,看完之后你还会去尝试
貌美牙为先,齿白七分俏这句话肯定很多人都听过,一口整齐的大白牙实在是太给人的笑容加分了,当牙齿白的人对你笑你会觉得温暖亲切,而一口大黄牙的人对你笑你就会觉得一言难尽。
小编就特别喜欢唐艺昕笑起来的样子,实在是太甜了,小编觉得她这甜美的笑容离不开这一口大白牙,不信的话我们把他的大白牙P黄,一起来看看效果。
所以牙齿白不白对我们的颜值还是有一定影响的,当然了不仅是我们普通人受到牙黄的影响,明星也是,接下来小编带大家来看看牙黄使颜值大幅度下降的几位明星。
这还是章子怡吗?和荧幕上形象简直判若两人。
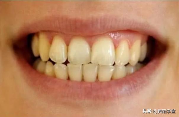
姚晨这个笑容配上一口大黄牙说实话小编看了有点受不了。
这还是之前那个帅气的霍建华吗!这一口大黄牙又是怎么回事!
刘涛大家都认识,下面带大家看看刘涛的美牙史。牙齿变白了颜值也跟着上去了呢。
其实这是因为刘涛去做了烤瓷牙,但是做完之后刘涛就后悔了,还劝大家不要去做烤瓷牙,他为了烤瓷牙不知道去医院多少次了。
虽然牙齿白对一个人的颜值真的有很大影响,但是烤瓷牙这件事花钱又遭罪,得不偿失!
很多小伙伴都和小编说自己明明每天都有在坚持刷牙,并且还尝试了各种美白牙齿的办法,但是为什么牙齿就不见变白呢?
很多人因为饮食不规律或多或少都会存在一些口腔疾病,所以牙齿发黄也是正常的,严重的甚至还会产生口臭,这就更加难为情了。
不少牙医都说最基本的护理口腔卫生的方法就是刷牙,市面上有很多牙膏都只适合清洁口腔,而不能达到美白的效果。所以要想美白牙齿就要选对牙膏。
小编就是因为一些原因牙齿有点泛黄,不过经过很长时间的摸索,小编终于找到了一款适合美白的牙膏,就连李佳琦也都在推荐哦,这款牙膏就是参半益生菌牙膏。
这款牙膏有五种颜色五种功效哦,除了最基本的美白抗敏还有清新口气修复牙釉质的,还有专门针对烟民的,简直是太全面了!还是马卡龙色系。
它是透明啫喱状质地,流动性非常好,挤在牙刷上就可以渗入刷毛,刷牙的时候可以很好的刷到不容易被刷到的地方,清洁干净口腔深处的污渍和牙渍!
有些人牙齿敏感也是很常见的问题,有点刺激的东西一点都不能碰,一碰牙齿就疼!最主要的原因是因为我们使用的牙膏中有部分不好的成分,对牙齿很不好,久而久之,牙齿敏感就出现了。
而这款牙膏基本都是含有植物提取物,成分安全,温和不刺激不管什么年龄段都能使用。
总的来说这款牙膏确实非常不错,见效快性价比还高,牙齿黄口腔敏感的朋友们可以入手试试哦!
参半小太阳益生菌网红牙膏 去黄去口臭清新美白鱼子酱牙膏家庭装 ¥119 购买